Periodic Acid Schiff (PAS) Stain Kit Richard-Allan Scientific™ 3 X 500 mL
USAMP#95722553SKU: 87007Richard-Allan Scientific™



Product Spotlight
- More intense staining is achieved with the room temperature procedure
- It is strongly recommended to store Schiff Reagent tightly capped at 2-8°C in the laboratory refrigerator
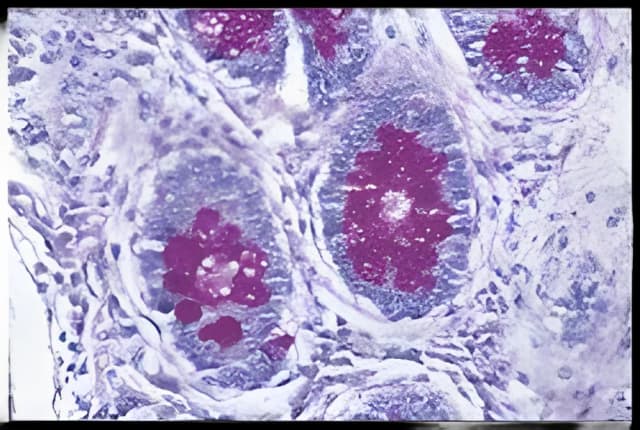
- Demonstrate the patterns and presence of specific carbohydrates with Thermo Scientific™ Richard-Allan Scientific™ Periodic Acid-Schiff (PAS) Solution
- Glycogen, mucin, fungal walls and some basement membranes stain rose to magenta
- Nuclei stain blue
- Kit includes: Hematoxylin I, periodic acid solution (0.5%), and Schiff reagent